Bonding Dentist
Buena Park, CA
Emergency & Same-Day Appointments
Minimal Wait Time
Works With Denti-Cal and Most PPOs
Hours:
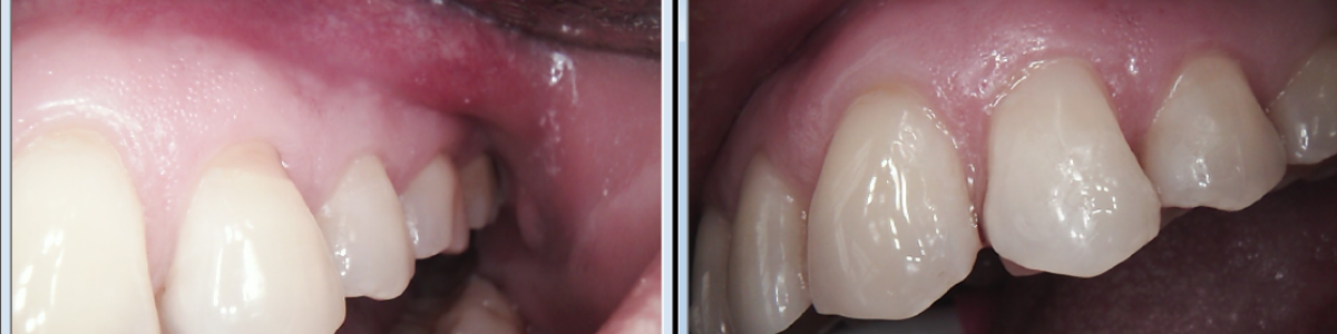
Transform Your Smile with Dental Bonding
Are you looking to enhance your smile quickly and affordably? Dental bonding at Elizabeth Varughese, DDS in Buena Park, CA, might be the perfect solution for you. Our skilled team specializes in this versatile cosmetic procedure that can address a variety of dental imperfections. We offer:
- Tooth-colored fillings
- Chip and crack repair
- Gap closure
- Tooth reshaping
- Discoloration correction
Do not let minor dental flaws hold you back from smiling confidently.
Reach out to us today to discover how dental bonding can revitalize your smile.
Dental Bonding: A Quick Fix for a Beautiful Smile
Dental bonding is a simple, non-invasive procedure that can dramatically improve your smile's appearance. Here is why you might consider dental bonding:
- Fast and painless procedure
- Typically completed in one visit
- No need for anesthesia in most cases
- Preserves more of your natural tooth structure
- Versatile solution for various cosmetic issues
- Affordable alternative to veneers or crowns
Whether you are dealing with a chipped tooth from a recent accident or have always been self-conscious about gaps in your smile, dental bonding can provide a quick and effective solution.
Why Choose Elizabeth Varughese, DDS
At Elizabeth Varughese, DDS, we are committed to providing top-tier dental care in a warm, welcoming environment. Here is why patients trust us for their dental bonding needs:
- Small, family-oriented office with personalized care
- Minimal wait times for appointments
- Friendly, multilingual staff fluent in English, Spanish, Tagalog, Hindi, and Malayalam
- Over 29 years of experience in dentistry
- Transparent pricing
- Ability to create a comfortable environment to ease anxiety
- Emergency and same-day appointments available
- We work with Denti-Cal and most Preferred Provider Organizations (PPOs)
Our team is dedicated to ensuring your comfort and satisfaction throughout your dental bonding procedure. We take the time to understand your unique needs and goals, tailoring our approach to deliver the best possible results.
Contact Us
Ready to explore how dental bonding can enhance your smile? We are here to help you achieve the confident, beautiful smile you deserve. Our friendly team is ready to answer your questions and schedule your consultation.
Contact us today to take the first step towards a brighter, more confident smile with dental bonding at Elizabeth Varughese, DDS in Buena Park, CA.

- Bullet text
- Bullet text
- Bullet text
- Bullet text
- Bullet text
- Bullet text
- Bullet text
- Bullet text
- Bullet text
- Bullet text
Title or Question
Describe the item or answer the question so that site visitors who are interested get more information. You can emphasize this text with bullets, italics or bold, and add links.Title or Question
Describe the item or answer the question so that site visitors who are interested get more information. You can emphasize this text with bullets, italics or bold, and add links.Title or Question
Describe the item or answer the question so that site visitors who are interested get more information. You can emphasize this text with bullets, italics or bold, and add links.

CP #1 Headline
CP #1 Body
CP #1 CTA Lead-in
Not valid with any other offers or promotions. Restrictions apply.
Must mention this coupon at the time of scheduling.
Gallery Heading H2
Reviews

Schedule your appointment today.





